Viermele mărului (Cydia pomonella) rămâne unul dintre cei mai păgubitori dăunători din pomicultură, cu impact direct asupra calității producției și a posibilității de valorificare.
În ultimii ani, presiunea legată de reziduuri, cerințele lanțurilor comerciale și restricțiile tot mai stricte privind substanțele active au determinat fermierii să caute soluții biologice integrate, bazate pe monitorizare și precizie.
Utilizarea capcanelor feromonale pentru urmărirea zborului, corelarea tratamentelor cu datele stațiilor meteo și aplicarea unor metode biologice, precum granulovirusul Cydia pomonella (CpGV), au devenit instrumente de bază într-un program modern de protecție a livezii.
Citiți mai multe despre Combaterea viermelui mărului (Cydia pomonella) prin metoda dezorientării în masă pe acest link, iar în acest articol discutăm despre cum se utilizează insecticidele biologice ce conțin Cydia pomonella Granulovirus (CpGV) în controlul acestui dăunător.
Ce sunt granulovirusurile și cum pot fi utile în controlul dăunătorilor?
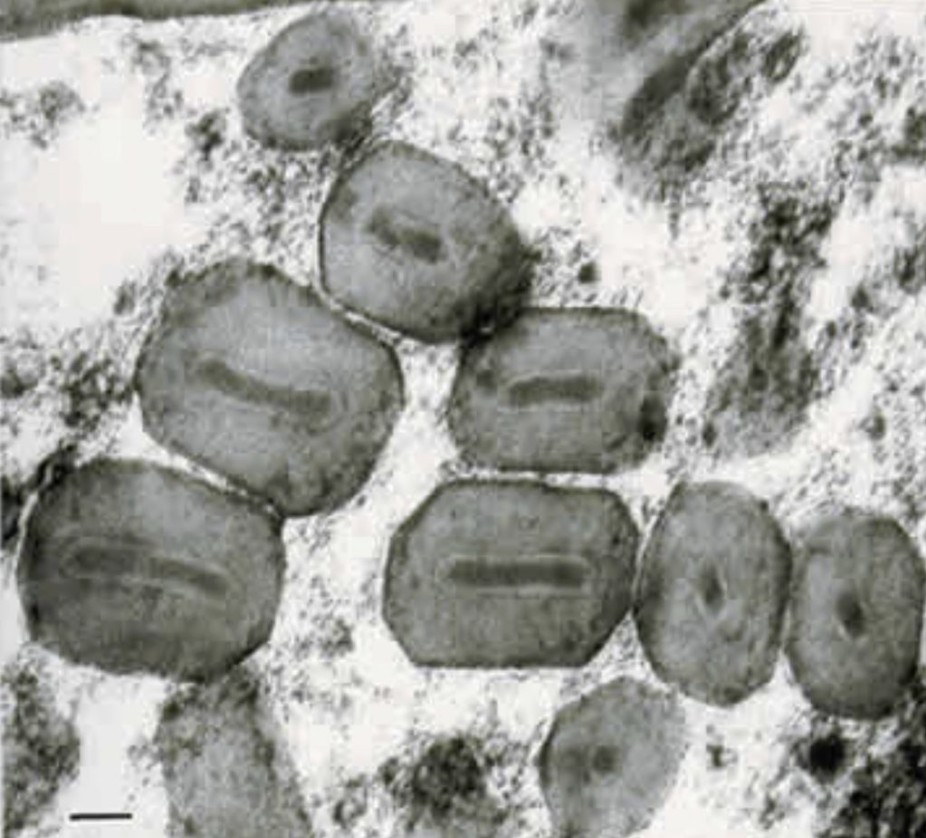
Granulovirusurile sunt virusuri entomopatogene care infectează exclusiv insectele, fără efect asupra oamenilor, animalelor sau entomofaunei utile.
Din punct de vedere științific, acestea aparțin familiei Baculoviridae și se remarcă printr-o specificitate extrem de ridicată față de gazdă.
Virusul este protejat în mediul extern sub formă de corpi de incluziune granulari, care îi permit să reziste pe frunze și fructe până la momentul ingerării.
Granulovirusurile funcționează doar împotriva lepidopterelor, nu sunt eficiente împotriva altor dăunători.
Cydia pomonella Granulovirus (CpGV) este agentul biologic utilizat pentru combaterea viermelui mărului și stă la baza unor produse comerciale cunoscute, precum Madex, Carpovirusine sau CyGRA.
La Institutul de Genetică, Fiziologie și Protecție a Plantelor s-au făcut cercetări și încă se mai lucrează cu tulpini de granulovirusuri.
Mecanismul de acțiune este strict legat de biologia dăunătorului. Doar larvele tinere, aflate în faza de deplasare pe suprafața organelor vegetative, pot fi controlate eficient, deoarece ele sunt cele care ingeră virusul.
După ingerare, particulele virale ajung în intestinul mijlociu, unde învelișul proteic se dizolvă, iar virusul se multiplică rapid.
În decurs de 2–4 zile, larva încetează hrănirea, organismul se degradează, iar în mediu sunt eliberate milioane de noi particule virale, care pot infecta alte larve.
În agricultura convențională, se folosește granulovirusul pe larg și pentru a preveni rezistenta la insecticidele sistemice prin alternare cu alte produse.
De ce contează momentul optim de aplicare
Din motivul menționat mai sus, momentul aplicării este decisiv. Granulovirusul nu are efect asupra larvelor deja pătrunse în fruct și nu poate compensa tratamentele întârziate.
Cele mai bune rezultate se obțin atunci când produsul este aplicat în apropierea eclozării ouălor, înainte ca larvele L1 să pătrundă în fruct.
Prima generație de Cydia pomonella este cea mai favorabilă pentru utilizarea CpGV. În această etapă, ouăle sunt depuse în principal pe frunze și ramuri, iar larvele petrec mai mult timp în așa-numita „fază de rătăcire”, moment în care șansa de a ingera virusul este maximă.
Stabilirea momentului de tratament nu se face după calendar, ci pe baza curbei de zbor a adulților, determinată cu ajutorul capcanelor feromonale.
Cel mai ușor este să utilizați o stație meteo pentru aprecierea presiunii dăunătorului.
Cel mai bun efect al granulovirusului contra Cydia pomonella se obține atunci când primul tratament este aplicat la 80–100 grade-zile de la biofix, urmat de repetări la intervale scurte, adaptate presiunii din livadă.
Biofix = prima captură constantă de adulți în capcanele feromonale (nu o captură izolată). Din acest moment începe calculul gradelor-zile (GG, DD).
Gradele-zile exprimă cantitatea de căldură acumulată necesară dezvoltării insectei. Pentru Cydia pomonella, baza biologică este de 10°C.
Calculul se face zilnic, utilizând temperaturile minime și maxime, iar valorile se adună cumulativ până la atingerea pragurilor biologice relevante.
*Data biofixului diferă: în sudul țării mai devreme, iar în zonele colinare sau nordice: mai târziu.
Formula zilnică. GG zilnice = (Temperatura maximă + Temperatura minimă). Exemplu concret (o zi):
- Tmax = 22 °C
- Tmin = 12 °C
- (22 + 12) / 2 = 17
- 17 – 10 = 7 grade-zile acumulate în acea zi.
Astfel, calculezi în fiecare zi GG, apoi le aduni cumulativ.
Continui zilnic până ajungi la pragurile biologice.
În funcție de presiunea de atac și de condițiile climatice, tratamentele se repetă la intervale de 7–10 zile, astfel încât să fie acoperită întreaga perioadă de eclozare.
În situații cu presiune ridicată sau temperaturi favorabile dezvoltării rapide a dăunătorului, pot fi necesare două sau chiar trei aplicări pe generație.
Reguli importante de aplicare
Cel mai frecvent, la utilizarea produselor biologice în controlul dăunătorilor, fermierii fac următoarele scăpări:
- aplică „după ce apar găurile în fruct”
- tratament unic pe generație
- lipsa monitorizării
- aplicare la întâmplare, după calendar.
Aplicați tratamentul seara. Astfel, protejați virusul de radiația UV și prelungiți eficacitatea pe frunză și fruct.
Acoperiți bine coroana. Nu reduceți excesiv volumul de apă, deoarece fructele trebuie să fie bine umezite.
Repetarea este normală, nu un eșec. Granulovirusul nu este un insecticid chimic de șoc, ci un instrument biologic care funcționează prin precizie și constanță.















